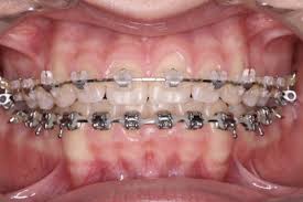
Les appareils orthodontiques servent à régler les problèmes liés à un manque de place pour l’évolution des dents sur les arcades.

Le meilleur âge pour commencer un traitement orthodontique se situe dans une majeure partie des cas entre 10 et 14 ans car c’est la période durant laquelle la tête et la bouche de l’enfant continuent à grandir, la position des dents est alors plus facilement corrigible. Cependant, il est possible de débuter un traitement orthodontique à tout âge.

Appareils orthodontiques pour jeunes enfants
C’est la première consultation, recommandée vers l’âge de 5, 6 ou 7 ans, qui va déterminer si oui ou non l’enfant a besoin d’un traitement orthodontique, par exemple s’il présente un défaut d’alignement des mâchoires ou un manque de symétrie. Si les dents du haut sont très avancées, si la mâchoire du bas ne coïncide pas parfaitement avec celle du haut, ou bien s’il existe un décalage entre dents supérieures et inférieures, un appareil orthodontique est nécessaire.
Si l’enfant présente un développement des mâchoires insuffisant à l’origine d’un manque de place, l’important est d’agir au bon moment par rapport à la croissance, afin d’empêcher que la situation ne s’aggrave.
Pour tout renseignement ou consultation orthodontique :
Vous pouvez également contacter votre dentiste Dr Tanson par téléphone : +352 26 52 15 30 ou +352 621 257 940 ou +336 03 47 15 06
Adresse du cabinet :
48-52 avenue Grande Duchesse Charlotte L-3340
Dudelange, Luxembourg