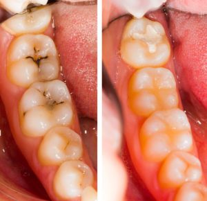
La carie dentaire est une maladie infectieuse. Les sucres seraient l’un des principaux responsables de l’attaque de l’émail.
Au tout début, l’émail de la dent est le premier touché. Lorsque l’émail est le seul atteint, la carie peut être indolore.
Les symptômes les plus fréquents sont : dents sensibles ; point brun sur la dent.

Si la carie n’est pas soignée, elle s’agrandit et peut atteint la dentine (couche sous l’émail). Des douleurs commencent à se faire sentir, notamment douleurs aiguës en mangeant ou en buvant quelque chose de froid, chaud, sucré.

Si la carie n’est toujours pas soignée, le trou s’agrandit et la carie peut gagner la pulpe de la dent.
Les douleurs dentaires s’accentuent avec le temps, on parle alors de rage de dents.
Pour tout renseignement, consultation ou soins dentaires :
Vous pouvez également contacter votre dentiste Dr Tanson par téléphone : +352 26 52 15 30 ou +352 621 257 940 ou +336 03 47 15 06
Adresse du cabinet :
48-52 avenue Grande Duchesse Charlotte L-3340
Dudelange, Luxembourg